חולה הובהל לבי"ח עם "כיס אוויר" במוח

המקרה יוצא הדופן התרחש בבלפסט • הפציינט בן ה-84 התלונן על אובדן שיווי משקל לעתים תכופות • הרופא המטפל: "סביר להניח שלא אתקל שוב באירוע כזה"

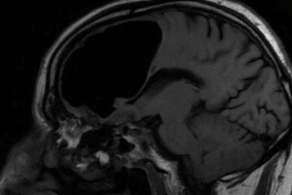
צילום: Getty Images // כיס האוויר בראשו של החולה // צילום: טוויטר, BMJCaseReports

אנחנו רגילים לשמוע, ולחוות, מקרים של כיסי אוויר במטוסים, אולם מסתבר שהתופעה קיימת גם במוחם של בני אדם.

קשיש בן 84 הובהל לבית החולים בבלפסט שבצפון אירלנד כשהוא מתלונן על אובדן של שיווי משקלו לעתים קרובות, שגורם לו לנפילות, וגם על חולשה בזרוע וברגלו בצדו השמאלי של הגוף. "לנוכח גילו והתלונות חששתי כי מדובר בשבץ מוחי" ,טען ד"ר פיינלי בראון, שטיפל בפציינט ואף כתב מאמר במגזין רפואי בנושא.

כיס האוויר בראשו של החולה // צילום: טוויטר, BMJCaseReports

הסריקות שביצעו בראשו של החולה גילו ממצא יוצא דופן – כיס אוויר בגודל של 3.5 אינץ' (8 ס"מ). התופעה, המכונה "פנאומטוקל", מתרחשת באונה המצחית, האחראית בין היתר על ביצוען של תנועות גוף. 

בסריקת ה-MRI של הפציינט נמצא גם גידול שפיר קטן שגורם לאוויר להיכנס אל תוך מוחו. "זה כמו בבקבוק קולה – לפעמים יש שסתום חד כיווני שמאפשר לאוויר להיכנס ולא לצאת", הסביר ד"ר אלאן כהן, רופא נוירוכירוגי שלא היה מעורב באירוע המדובר. 

עקב גילו המבוגר של החולה, וגם כמה גורמים רפואיים נוספים, האחרון דחה את האפשרות לניתוח. הרופאים החליטו על טיפול שמרני באמצעות תרופות. בביקורת אליה הגיע כשלושה חודשים לאחר האירוע נרשם שיפור במצבו של החולה. "זה די בלתי סביר שאתקל שוב במקרה כזה", סיכם הרופא המטפל, ד"ר בראון. 

 

 

טעינו? נתקן! אם מצאתם טעות בכתבה, נשמח שתשתפו אותנו

כדאי להכיר