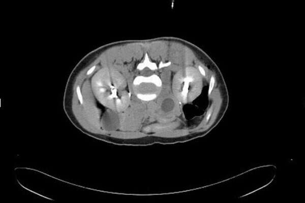
פעוטה שרק נולדה בהונג קונג אובחנה כמי שנמצאת בהריון עם תאומות. הפעוטה בת השלושה שבועות בלבד, שנולדה להורים מסין, נאלצה לעבור ניתוח וההערכה היא ששני העוברים היו כבר בני שמונה עד עשרה שבועות. בצילום אולטרסאונד הבחינו הרופאים ברגליים, ידיים, עמוד שדרה, צלעות ואפילו מעיים. השניים היו עטופים בעור, אחד מהם שקל 14.2 גרם ואילו השני שקל קצת פחות - 9.3 גרם. שניהם היו גם מחוברים בחבל הטבור.
הניתוח שעברה הפעוטה להסרת העוברים הוגדר כמוצלח והיא שוחררה מבית החולים שמונה ימים לאחר מכן. המקרה הנדיר והמדהים הזה התפרסם באופן מפורט בגיליון האחרון של המגזין הרפואי הונג קונג מדיקל ג'ורנל. התופעה, שנקראת בשפה המקצועית עובר עוברי מתרחש רק אחת לחצי מיליון לידות בעולם כולו. רק 200 מקרים כאלה דווחו בכלי התקשורת במהלך ההיסטוריה.
ד"ר יו קיי מאן, מומחה לילודה וגניקולוגיה טוען כי מדובר במקרה הראשון שתועד בעיר. "זה היה כמעט בלתי אפשרי לגלות את הדבר במהלך תהליך ההריון של הפעוטה, מכיוון שהעוברים בבטנה של הפעוטה (בזמן היותה עובר בעצמה), היו קטנים מידי", אמר יו לשעבר מרצה באוניברסיטת הונג קונג. "מכיוון שהפעוטה לא יכולה הייתה להיכנס להריון בעצמה, הזרע שקיבלה היא ככל הנראה מהוריה", מסביר ד"ר יו.
רוצים לקבל עוד עדכונים? הצטרפו לישראל היום בפייסבוק
הדיווח במגזין הרפואי מסביר כי הדבר ככל הנראה קורה בעקבות מספר מקרים רב של הפלות שעברה אימה. "השימוש הנרחב באולטרא סאונד טרום-לידתי בהריון המוקדם, עשוי לספק ראיות מוצקות יותר ולשפוך אור על המקרה המעניין והחריג הזה", נכתב עוד במאמר. בבית החולים סירבו להגיב על המקרה.
