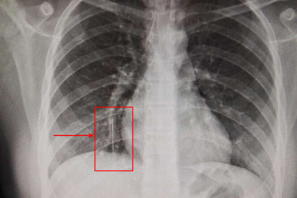
הטיול השנתי של ס' בת ה-13 תושבת הצפון הסתיים במקום הכי פחות נעים שאפשר – חדר הניתוח של המרכז הרפואי הלל יפה. "היינו באוטובוס בחזרה מטיול בטבריה, וכבר ממש ליד הבית ושוחחתי עם חברה אגב סידור של החיג'אב", שיחזרה ס', "שמתי את הסיכה בפה, כמו שאני עושה לא פעם, ובטעות בלעתי אותה". מנהל בית הספר התקשר לאביה, דיווח על המקרה וזה הבהיל אותה לחדר המיון של המרכז הרפואי הלל יפה. במרכז ביצעו בדיקות וצילום רנטגן שם הבחינו בסיכה באורך 3.6 סנטימטר היושבת בבסיס הריאות. מקום זה נחשב מסוכן במיוחד שכן הסיכה עלולה לגרום לניקוב הריאה ולקשיי נשימה קשים.
ד"ר גלית אביאור, רופאה בכירה ביחידה לאף אוזן גרון של "הלל יפה", שחילצה בסופו של דבר את הסיכה מהריאה מסבירה כי "הסיכה חולצה בעדינות מירבית, בשל מיקומה הבלתי שגרתי בעומק הריאה, בסיוע מכשור ייעודי תחת הרדמה ובחדר ניתוח".
ביום שאחרי מתאוששת ס' במחלקה, יחד עם אביה וחברתה, מחייכת ורגועה, ומחכה למכתב השחרור הביתה. שניהם יודעים שמלבד הטיפול המקצועי המהיר והיעיל היה ל-ס' גם הרבה מזל.

הסיכה באורך 3.5 שהוצאה מהריאה בהליך רפואי מורכב // צילום: המרכז הרפואי הלל יפה
ד"ר אביאור מציינת כי אין זאת הפעם הראשונה שנתקלים ביחידה בבליעת סיכת ראש עקב סידור מטפחת ומבקשת לחזור ולהתריע. "הימנעו מסידור המטפחת אשר הסיכה בפה ובין השיניים. נכון, זה נוח, ויכול להיות מהיר וזו אף פעולה שאתן עושות תדיר, אבל מספיקה פעם אחת, והיא יכולה להיות הרת גורל".
טעינו? נתקן! אם מצאתם טעות בכתבה, נשמח שתשתפו אותנו