בית חולים 'הדסה' יפצה אישה בעשרות אלפי שקלים, בעקבות פיסת מתכת ששכנה ברגלה לאחר ניתוח שבוצע בה. בית משפט השלום בירושלים קבע כי בית החולים אינו אחראי בהכרח לנזק הרפואי שנגרם לאישה בגלל המתכת, ולפיכך פסק כי עליו לשלם פיצויים על הסבל בלבד.
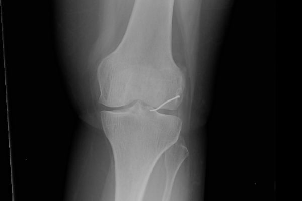
האישה, בשנות ה-50 לחייה, הגישה תביעה בגין רשלנות רפואית, באמצעות עורך הדין מאור גלבוע. לדבריה, לפני כמה שנים היא החליקה בביתה ושברה את ברך שמאל. היא נותחה בבית החולים הדסה עין כרם, שם החדירו הרופאים אל ברכה קיבוע מתכתי זמני.
כשלוש שנים לאחר הניתוח, הוזמנה האישה לניתוח נוסף בבית החולים, במטרה להוציא את קיבוע המתכת. המתכת הוצאה, לכאורה, אלא שלפי התביעה, הרופאים לא ביצעו שום סריקה או הדמיה על מנת לבדוק האם קיבוע המתכת הוצא במלואו.
כעבור כשנתיים, ולאחר שספגה מהלומה באזור הברך, החלה האישה לסבול מכאבים עזים ונבדקה על ידי אורתופד. זה שלח אותה לצילומי רנטגן, וגילה, למרבה ההפתעה, כי בברך ישנה פיסת מתכת, והיא זו שככל הנראה גרמה לכאבים. האישה הופנתה לניתוח, שלישי במספר, ובמהלכו הוצא מברכה תיל מתכת באורך 3.5 ס"מ.
בשל כך הגישה האישה תביעה על רשלנות רפואית נגד ביה"ח הדסה, ונגד ההסתדרות המדיצינית 'הדסה' המפעילה אותו.
ארגון 'הדסה' לא הכחיש את הרשלנות בעצם השארת הגוף המתכתי הזר בגופה של האישה. אך על פי התביעה, השארת התיל המתכתי החריף את הניוון הסחוסי בברכה של האישה, בעוד שמטעם 'הדסה' נטען כי למעשה לא נגרם לאישה כל נזק, למעט כאב וסבל.
עקב הגשת חוות דעת סותרות מטעם הצדדים, החליטה השופטת למנות את האורתופד, ד"ר אורי פרנקל, כמומחה מטעם בית המשפט, וזה קבע כי אין כל ראיה לכך שהשארת התיל בגופה של התובעת גרמה לה לנזקים, וכי הנזק בסחוס ובפיקת הברך שלה לא יכול היה לנבוע מהשארת התיל בברכה.
השופטת קיבלה את חוות דעתו של ד"ר פרנקל, אך קבעה כי לתובעת נגרמו כאב וסבל רבים וכן הוצאות משפטיות לא מבוטלות – ועל כן קבעה כי על 'ההסתדרות המדיצינית הדסה' לשלם פיצויים לתובעת בסך 35 אלף שקלים, וכן שכר טרחת עורך דין בסך 8,000 שקל, והוצאות נוספות בסך 15,000 שקלים.
