בשיתוף ד"ר סאמט
האם יש דבר שבולט יותר לעין מהשיניים, כשאנו פוגשים מישהו לראשונה? אולם מעבר לכל אלה, שיניים יפות משפיעות על התחושות הפנימיות שלנו, על הכרת הערך ועל הביטחון העצמי של כל אחד מאיתנו, ואפילו על הזהות שלנו.
לפעמים אנו מודעים לחשיבות הדברים שיש לנו רק כאשר הם נלקחים מאיתנו. יעידו על כך רבים שנפגעו ונפצעו באזור הקדמי של הפנים, ונפגעו או איבדו שיניים קדמיות. לצערנו, יש לא מעט כאלו מאז שהאופניים והקורקינטים החשמליים חדרו אל חיינו.
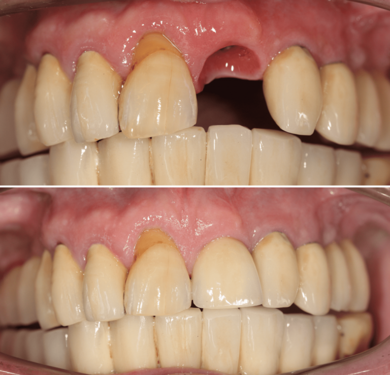
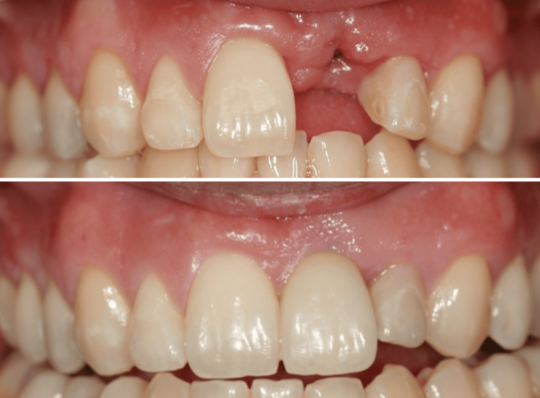
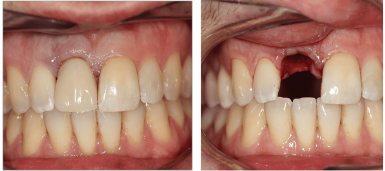
בדרך כלל, מי שאיבד שיניים קדמיות ונזקק לשתלים, ייאלץ לעבור טיפול מורכב וארוך. הפרוטוקולים הישנים דרשו סדרת טיפולים שנמשכה בין 6 ל-9 חודשים, ונדרשו לפחות 2 ניתוחים. ההחלמה לאחר חבלה כזאת היא לא פשוטה, ורבים עוברים קשיים פיזיים ורגשיים רבים לאורך הדרך, שכן אובדן של שיניים קדמיות היא אירוע מאוד טראומטי. ואולם גם קשיים אלה והפחד מהטיפולים מתגמדים לעומת החשש מהפגיעה האסתטית והשאלה “מה יהיה” ו”איך אראה” בסוף הטיפול.

נשאלת השאלה, האם יש פתרון טוב מזה?
לדברי ד”ר נחום סאמט, מומחה בשיקום הפה ויו”ר האיגוד הישראלי לשיקום הפה, התשובה היא כן. יש אלטרנטיבה טובה יותר. במספר רב של מקרים ניתן לבצע השתלה מיידית ושחזור מיידי של השיניים הקדמיות סמוך מאד למועד החבלה. אמנם פתרון זה אינו מתאים לכל אחד, ולא ניתן לבצעו בכל מצב, אולם כאשר הוא אפשרי, החזרה לחיים הנורמליים הוא מהיר ויעיל מאד.
למעשה, הוא מלמד את הטכניקה הייחודית הזו כבר משנת 2002 ומרצה בנושא ברחבי העולם כולו. גם אוניברסיטת HARVARD, בה הוא חבר סגל המחלקה לשיקום הפה, מכירה בו כסמכות מקצועית בתחום השתלים הדנטליים, בשל הרקע והידע שצבר לאורך השנים כקלינאי, חוקר וכיועץ וכסמנכ”ל באחת מחברות השתלים הנחשבות ביותר בישראל ובעולם. לדבריו, הגם שהטכניקה מוכרת הרבה שנים, היא דורשת ידע ומיומנות גבוהים מאד, מאחר לכל מרכיב בתהליך יש השפעה גדולה על התוצאה הסופית: ממיקום השתל ועד עיצוב השחזור המיידי. לכל פרט יש משמעות.
ד”ר סאמט: “היתרון הבולט של השיטה החדשנית שאני מלמד ומיישם בקליניקה שלי בתל אביב הוא, שהמטופל זוכה לשיניים קדמיות קבועות סמוך מאד ליום החבלה. הפתרון הזה מהפכני בלשון המעטה, משום שהיא חוסכת למטופל חודשים של שימוש בתותבת נשלפת שהיא לא נוחה, וחוסכת בד”כ פרוצדורה כירורגית נוספת בהמשך”.
“חשוב לזכור שלא מעט אנשים סובלים מחרדה מטיפולי שיניים. דרך טיפול זו חוסכת הרבה ביקורים במרפאה, ומציעה להם פתרון רפואי ואסתטי מיידי, מבלי לגרוע מהתוצאה הסופית”.
הוא קובע גם ש”השילוב של ידע, ניסיון, שימוש בטכנולוגיות המודרניות ביותר, והבנה מעמיקה של האנטומיה מצד אחד, ואמפתיה וכבוד רב לכל מתרפא מהצד השני, הם סוד ההצלחה”.
ויעידו על כך מתרפאים שטופלו על ידי ד”ר סאמט בעבר:
“ד״ר סאמט הוא אחד הרופאים היותר מקצועיים שהכרתי. שהגעתי אליו לראשונה, היה לי ברור שאבחר בו לטיפול המשקם. רופא אמין ביותר, יסודי, עדין מאוד, זמין בעת הצורך, ניחן בהמון סבלנות. צוות נהדר וכמעט משפחתי, מחירים הוגנים בהחלט והתוצאה מהממת. רופא מן השורה הראשונה”! (ס.ע, תל אביב).

בעוד שהשתלת שיניים היא הפתרון עבור מי שאיבד את שיניו הקדמיות או ששיניו ניזוקו בצורה חמורה, האם מי ששיניו נפגעו קלות יכול לוותר על הטיפול?
ד”ר סאמט: “בהחלט לא. כדאי לטפל בבעיות כשהן קטנות. אסביר: בכל פעם שמבנה השן נפגע, היא נחלשת. גם חור או סדק קטן יכולים להפוך לבעיה משמעותית בהמשך, ולהגדיל את מורכבות הטיפול שיידרש לשן. ולכן, ההמלצה היא לבדוק, לאבחן נכון ולטפל בשן מוקדם ככל שניתן. קיימות היום מגוון שיטות חדשניות לשיקום השיניים. מחומרי שחזור בצבע השן, ועד כתרים וציפויים שונים, וככל שהטיפול נעשה מוקדם יותר, במקצועיות ותוך שימוש בחומרים האיכותיים שקיימים כיום, כך המטופל יכול להבטיח לעצמו טיפול פשוט יותר וחיוך בריא ויפה יותר”.

מהקליניקה של ד”ר סאמט כולם יוצאים עם חיוך על הפנים!
אינספור המלצות שמצאתי ברשת מעידים בעיקר על המקצועיות של ד”ר סאמט. במרפאתו, שממוקמת ברחוב הלסינקי 19 בתל אביב, הוא משתף פעולה עם מומחים בתחומים דנטליים נוספים, ועוקב מקרוב על כל הליך טיפולי, גם כזה שלא הוא מבצע בפועל. הוא מדגיש: “צוות המרפאה נבחר בקפידה כדי להבטיח לכל מטופל את הטיפול הכי מקצועי ומדויק שיש, כזה שמתאים ונכון עבורו, ותוך שמירה על סטנדרט גבוה של מקצועיות ואיכות. אנו תמיד מציעים למטופלים מספר פתרונות, כך שיוכלו לבחור את זה שמתאים להם בצורה הטובה ביותר, וכדי שירגישו ביטחון לאורך כל שהותם בקליניקה. אנחנו שואפים שכל מטופל יצא מכאן עם חיוך, ועם הבנה איך לשמור על השיניים בעתיד. זו האינדיקציה להצלחה שלנו”.
“במילה אחת – אלוף! מקצוען, מכיר לפרטים את כל האפשרויות, כל הטכנולוגיות ומעודכן בחדישות ביותר. ידי זהב שמוציאות לפועל בעדינות מופלאה גם פתרון שניראה מסובך ובלתי אפשרי לרופאים אחרים”. (עוז גורן, אורנית).
על ד”ר סאמט
ד”ר סאמט הוא מומחה בשיקום הפה, יו”ר האיגוד הישראלי לשיקום הפה, והבעלים של מרפאת שיניים לטיפולי שיניים מתקדמים. הוא בוגר בית הספר לרפואת שיניים של האוניברסיטה העברית והדסה בירושלים, שם קיבל תואר במדעי הבריאות, ברפואת שיניים ומומחיות בשיקום הפה.
ד”ר סאמט הוא חבר סגל בית הספר לרפואת שיניים באוניברסיטת HARVARD, מרצה מבוקש בארץ ובעולם בתחום התמחותו ובעיקר בתחום השתלים הדנטליים , ופרופסור אורח באוניברסיטאות ברומניה בספרד, בסין, ובדרום קוריאה.
למידע נוסף בקרו באתר>>> https://www.drsamet.com
בשיתוף ד"ר סאמט