טקסס: תינוקת נולדה פעמיים - "זה נס"

התינוקת לינלי הוצאה מתוך הרחם כדי להסיר גידול קטלני מעצם הזנב • היא הוחזרה לרחם ו-12 שבועות אחר כך "נולדה" שוב

לינלי // צילום: מרגרט בומר

תינוקת מטקסס שבארה"ב יכולה לחגוג שני ימי הולדת. לינלי בומר נלקחה מתוך הרחם 12 שבועות לפני שנולדה הלכה למעשה, עבור פעולה מצילת חיים, כאשר הרופאים מצאו גידול בעצם הזנב שלה.

רויטרס

אמה, מרגרט בומר, סיפרה כי במהלך צילום אולטרה סאונד שגרתי 16 שבועות לתוך הריונה, התגלה כי לינלי הקטנה סובלת מגידול סרטני בעצם הזנב וזקוקה לטיפול מציל חיים.

לינלי מחוייכת אחרי שעברה פרוצדורה שלא תזכור לעולם // צילום: מרגרט בומר

ליבה של התינוקת האט את פעולתו, והרופאים נאלצו להסיר את הגידול. 12 שבועות לאחר מכן לינלי נולדה באמצעות ניתוח קיסרי - כשהיא בריאה ושלמה ובמשקל תקין.

שמונה ימים לאחר שיצאה לאוויר העולם, נזקקה התינוקת לניתוח נוסף כדי להסיר פיסות קטנות של גידולים שנותרו והחלו לצמוח. מספר שבועות לאחר הניתוח הרופאים שחררו את לינלי ואמה הביתה.

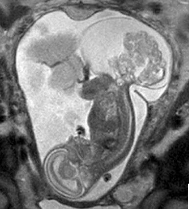
זוהתה טרטומה בעמוד השדרה  // צילום: מרגרט בומר

"הרופאים זיהו משהו בסריקה" סיפרה האם, "והרופא בא ואמר לנו שיש משהו מאוד לא בסדר עם התינוקת שלנו. הוא אמר שיש לה 'טרטומה'" (teratoma sacrococcygeal).

ד"ר דארל קאס הסביר כי טרטומה הוא הגידול השכיח ביותר בקרב תינוקות, אך גם הוא נחשב ל"די נדיר", המשפיע על אחד מתוך כ-50 אלף לידות.

בחרו בחיים // צילום: מרגרט בומר

בגלל שהעובר והגידול "מתחרים" על כמות הדם, התקבלה ההחלטה לעשות את הפעולה על לינלי לפני שהיא נולדה.

ד"ר קאס אמר ל-CNN כי "במקרים מסוימים, הגידול מנצח והלב לא מצליח לעבוד והתינוק מת". 

 "במקרים מסויימים הגידול מנצח". במקרה הזה התינוקת ואמה ניצחו // צילום: מרגרט בומר

אפשרות נוספת היתה להפסיק את ההיריון, אבל ללינלי היה אח תאום שלא שרד את ההיריון, ולכן האם לא היתה מוכנה לוותר.

בשבוע ה-23 להריון, הגידול היה גורם לתינוקת להיכנס לאי ספיקת לב ולכן ההתלבטות היתה האם לתת לגידול להשתלט על גוף העובר, או לתת לה את הסיכוי לחיות. 

"ההחלטה היתה קלה עבורנו – רצינו לתת לה את הסיכוי לחיות", אמרה האמא המאושרת.

"מדובר בסוג של נס", סיכם ד"ר קאס.

טעינו? נתקן! אם מצאתם טעות בכתבה, נשמח שתשתפו אותנו

כדאי להכיר