"ד"ר מקדרימי" של הכלבים - כך בוודאי היה מכנה עוזי, כלב בוקסר מעורב בן 13, את הרופאה המטפלת שלו. עוזי, כלבם של יואב קמרט וקרין בנסאיד, סטודנטית שנה ב' לרפואה וטרינרית, עבר לאחרונה ניתוח ראשון מסוגו בישראל - הסרת גידול בגזע המוח. רוב שנותיו היה עוזי כלב שמח ואוהב חיים, אולם לפני כמה חודשים החלו להתגלות אצלו סימנים נוירולוגיים מדאיגים, ובהם חוסר שיווי משקל והטיית ראש חריפה לצד ימין. משחלה הרעה במצבו, גם לאחר טיפול תרופתי, היפנה אותם הווטרינר למחלקה הנוירולוגית בבית החולים הווטרינרי האוניברסיטאי של האוניברסיטה העברית.
"היו כל מיני סימנים שרק בדיעבד אנחנו מבינים שכנראה היו קשורים לגידול", מספר יואב, שאימץ את עוזי כשהיה גור בן חודשיים, "בהתחלה היו לו התנשפויות וחרחורים בזמן ריצה, בהמשך ראו אצלו ניוון של אזור בית הבליעה והוא טופל בסטרואידים שכנראה עיכבו את התפרצות הגידול, ולכן לא עלינו על זה".
עוזי הגיע לבדיקה דחופה אצל הנוירולוגית ד"ר אורית חי, ולמרות הסימנים שגילה הצליח לעמוד על הרגליים ולזהות את הסובבים. אבל מכאן המצב הידרדר במהירות: אל מול עיניהם של יואב וקרין המודאגים ושל הצוות הרפואי עוזי הפך לאפאתי, ומערכות גופו החלו להיכבות זו אחר זו. בשל חשש מלחץ תוך־גולגולתי, קיבל עוזי באופן מיידי עירוי תוך־ורידי של חומר מפחית בצקת מוחית, והועבר בבהילות לסריקת סי.טי של המוח.
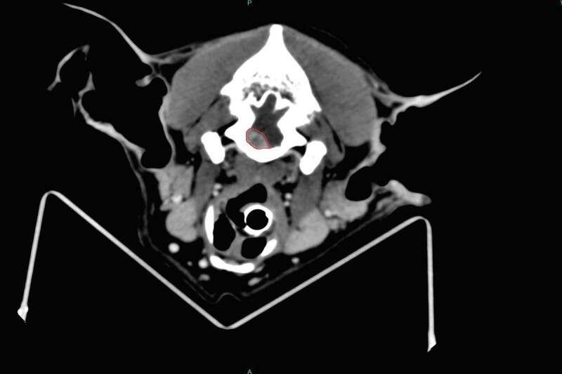
בסריקה נראה גידול גדול בגזע המוח (ככל הנראה מסוג מנינגיומה), ויואב וקרין נאלצו להכריע בתוך דקות על גורלו של עוזי: ניתוח או המתת חסד. "מכיוון שעוזי מבוגר התלבטנו מאוד", מבהיר יואב, "כימותרפיה בלבד לא היתה עוזרת, וידענו שמדובר בניתוח מורכב עם לא מעט סיכונים. אבל עד שהופיעו הסימנים הוא היה כלב חיוני מאוד והחלטנו לא לוותר עליו".

סריקת הסי.טי (הגידול באדום) // צילום:ביה"ח הווטרינרי האוניברסיטאי
כבר למחרת הוכנס עוזי לניתוח נוירוכירורגי להסרת הגידול בגזע המוח, שנחשב הראשון מסוגו בישראל, בשל מיקום הגידול והגישה הכירורגית שהכתיב. הוא בוצע על ידי פרופ' מרב שמיר וד"ר אורית חי, מומחיות בינלאומיות בנוירוכירורגיה וטרינרית (DECVN), ראשונות בתחומן בארץ, ומרצות בבית הספר לרפואה וטרינרית ע"ש קורט של האוניברסיטה העברית.
"מכיוון שמדובר בגידול גדול מאוד שממוקם בגזע המוח וצמוד לקרומי המוח, הנחנו שהוא גדל לאט ושהוא שפיר", סיפרה ד"ר חי, "לכן היה כדאי לנתח. ההנחה היא שאם הגידול יחזור, קצב ההתפתחות שלו יישאר איטי, ולתת לכלב בן 13 עוד כמה שנים טובות ומאושרות - שווה את זה".
במהלך הניתוח, שארך כ־5 שעות, הוסרה עצם בסיס הגולגולת ודרך הפתח שנוצר הגידול נחשף והוסר בזהירות. באופן חריג, ומכיוון שהיא סטודנטית בבית הספר לרפואה וטרינרית, אושר לקרין לצפות בניתוח. "מדובר בניתוח של פעם בחיים", היא מתארת, "מצד אחד זה מעניין ברמה הלימודית, ומצד שני הייתי צריכה לשמור על הפרדה בין העניין הלימודי לבין העובדה שזה הכלב שלי ששוכב על שולחן הניתוחים".
בשל דימום חריף במהלך הניתוח לא הוסר הגידול במלואו, אולם עוזי לא ויתר וכבר לאחר כמה ימים חזר לשתות, לאכול וללכת. כשבוע לאחר הניתוח כבר שוחרר לביתו להמשך טיפול. היום, חודשים ספורים לאחר הניתוח, מטופל עוזי בסטרואידים ובכדורי כימותרפיה, שיינתנו לו כל המשך חייו כדי לשלוט בגידול שנותר. "היינו צריכים להכין עבור עוזי את הבית ממש כמו לתינוק שלומד ללכת", מספרים יואב וקרין, "למשל, מכיוון שהוא לא יכול לעלות על הספה שהוא אוהב, הכנו לו פינה חדשה עם מזרן וכריות. הוא אמנם לא חזר לעצמו במאה אחוז, אבל הוא משחק, שמח לצאת לטיולים, ומלא שמחת חיים. התנועתיות שלו משתפרת מיום ליום, וממש אפשר לראות שיש תנועות שהוא למד מחדש. הוא כבר מבוגר, אבל כל יום הוא יום טוב ואנחנו מקווים לעוד הרבה כאלה".
• • •
עובדות מגרדות על פרעושים
הקיץ כבר כאן, ואיתו גם אורחים בלתי רצויים על חיות המחמד שלנו: הפרעושים. מה באמת אנחנו יודעים על הטפילים המסוכנים הללו? הנה כמה עובדות מפתיעות באדיבות האתר catingtonpost.com:

צילום: gettyimages
• נקבת הפרעוש יכולה להטיל לפחות 20 ביצים ביום. חצי מהן יתפתחו לנקבות, שיטילו גם הן 20 ביצים ביום. כך, בתוך 60 יום, יופיעו 20 אלף פרעושים חדשים.
• פרעושים יכולים לקפוץ לגובה של פי 110 מאורך גופם. פרעוש שקופץ לגובה של כמה סנטימטרים שווה לאדם שקופץ לגובה של בניין בן 30 קומות.
• לא רק שהם קופצים גבוה, אלא שפרעוש שקופץ מאיץ פי 20 מהר יותר מאשר מעבורת חלל!
• הפרעושים קיימים על כדור הארץ לפחות 165 מיליון שנים. אז הם היו גדולים יותר, וניזונו מדמם של דינוזאורים.
• בניגוד לדעה הרווחת, פרעושים לא תמיד מתים בחורף. כל עוד חמים טוב להם בתוך הגולם, זחלי הפרעושים יכולים לשרוד גם תקופות מקפיאות. לכן חשוב לטפל בחיות המחמד נגד פרעושים כל השנה.
טעינו? נתקן! אם מצאתם טעות בכתבה, נשמח שתשתפו אותנו