המקרה הבא יכול היה להסתיים באסון: תינוק בן שנתיים פונה למיון 'טרם' באשקלון לאחר שנצפה על ידי הוריו כשהוא בולע חפץ זר. לדברי הוריו לאחר שנצפה בולע את הגוף זר, הוא החל להקיא.
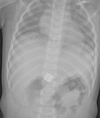
רופאי 'טרם' בעיר העבירו את התינוק לצילום רנטגן בו נצפה בגופו עצם זר. מתברר כי התינוק בלע MINI USB, צ'יפ המקשר עכבר wireless (אלחוטי) למחשב.

צילום הרנטגן חשף את הגוף הזר // צילום: 'טרם'
רופאי 'טרם' המליצו על המשך מעקב בתקווה שהגוף הזר ייפלט בצורה טבעית. ד"ר פרוג'י ממיון 'טרם' ציין כי "הסכנה הייתה שהגוף הזר ייכנס לנתיב אוויר או שיתקע בוושט, אבל בנס הדבר לא קרה ולכן בשלב זה מומלץ על מעקב".
טעינו? נתקן! אם מצאתם טעות בכתבה, נשמח שתשתפו אותנו