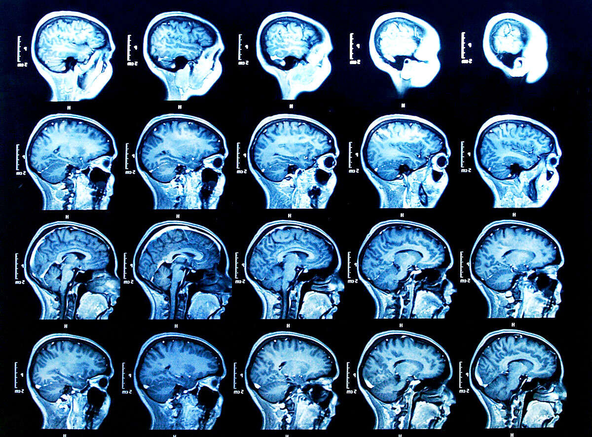
אומרים שהמוח הוא האיבר הכי חיוני בגוף האדם. האומנם? כולנו הולכים מבקרים מידי פעם אצל הרופא בכדי לטפל במחלות שונות שתוקפות אותנו. אבל חולה אחד בצרפת קיבל את השוק של חייו כאשר הלך לטפל בכאבים ברגלו – הרופאים הודיעו לו כי חסר לו חצי מוח.
הכתבה הכי נקראת: בת 11 שנאנסה על ידי בן הזוג של אמה - ילדה
האיש, בן 44 ואב לשני ילדים, שנותר בעילום שם, הדהים את הרופאים שלא האמינו כיצד הוא שרד עד כה. האבחנה הביזארית הזו התגלתה כבר בשנת 2007, אבל פורסמה ברבים רק לאחרונה בכתב העת הרפואי ה"לנסט".
ליאוניל פוילנט, שחקר את מוחו של האיש לאחר הגילוי המדהים, ציין בכת העת הרפואי: "כל המוח שלו הצטמצם - האונות הקדמיות, הקודקודית, הזמניות והעורפיות – בשני הצדדים גם בימין וגם בשמאל. האזורים הללו במוח שולטים על תנועה, רגישויות, שפה, ראייה, רגשות ופונקציות קוגנטיביות נוספות."
רוצים לקבל עוד עדכונים? הצטרפו לישראל היום בפייסבוק
הרופאים הסבירו כי התופעה היא הפרעה שלאחר הלידה, שנגרמה ממים בתוך המוח. עם השנים הצטמצם מוחו של הצרפתי ב-50%-75%. כעת, שמונה שנים לאחר הגילוי והטיפול שניתן לו, מאמינים הרופאים כי הוא ניצל מכיוון שמוחו ארגן את עצמו מחדש. רוב הנוזלים שנאגרו במוחו נעלמו וכיום חי האיש באופן נורמאלי.
חוקרים, שכותבים בכתב העת בו פורסם המקרה, הגיעו לכדי מסקנה שהאינטליגנציה של אדם לא בהכרח קשורה לגודל של המוח, לפחות לא כמו שחשבו עד היום. הם מאמינים שההסבר לכך הוא שהחלקים המעטים של מוחו שנותרו, "עשו את העבודה" של החסרים. אז אולי בכל זאת הגודל לא קובע?
טעינו? נתקן! אם מצאתם טעות בכתבה, נשמח שתשתפו אותנו
